Slide 1

O mais avançado conjunto de ferramentas para planejamento em tratamento dental 3D

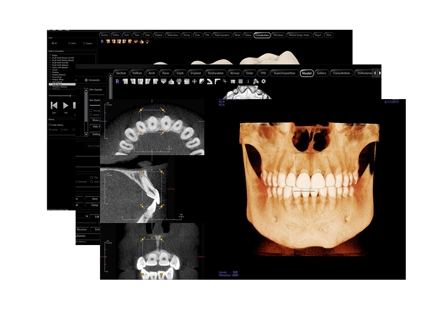
O Futuro da Imaginologia 3D é Cristalino

A plataforma Invivo fornece uma solução integrada moderna para avaliação das imagens 3D. Combinando a clareza do líder de mercado, a facilidade de uso e a compatibilidade, o Invivo é a solução ideal para aplicações odontológicas, ortodônticas e radiológicas.

Guiando os Profissionais do Futuro

O Invivo tem a confiança da equipe de muitas das melhores universidades do mundo.

O que é a Plataforma Invivo?

Nosso conjunto de produtos e serviços é projetado para atender às crescentes necessidades dos profissionais médicos e odontológicos.
Software de geração de imagens médicas e odontológicas 3D de última geração
Compartilhamento de arquivos baseada em nuvem e plataforma de visualização 3D
Modelos digitais para dar suporte a procedimentos ortodônticos modernos

Inovação está em nosso DNA

A visão da Osteoid é fornecer soluções de imagem 3D que permitam aos médicos melhorar seus fluxos de trabalho e a experiência do paciente.

Usuários do Invivo Workspace
0 +
Usuários do Invivo Guide
0 +
Clientes Invivo WorldWide
0 +

Plataforma Confiável

Sendo pioneiro na utilização da plataforma Invivo no Brasil, desde 2007, nos demos conta rapidamente que o nosso workflow clínico na Ortodontia e Cirurgia não mais poderia prescindir de uma ferramenta tão poderosa, tanto no protocolo de diagnóstico em 3D, mas também em todo o processo de decisão terapêutica e planejamento dos casos, por meios das inúmeras ferramentas de simulação virtual, que permitem escolher juntos com os clientes, a melhor alternativa de tratamento.

Dr. Mauricio Accorsi, autor do Livro “Diagnóstico 3D em Ortodontia – A TC Cone-beam Aplicada” (Editora Napoleão)

O que é o Invivo One?

Invivo One combina o poder do software Invivo com a flexibilidade do Invivo Workspace em um plano unificado.
Rolar para o topo